Anaplasmose Überblick

Ixodes ricinus ♀

Ixodes ricinus ♂

Anaplasma phagocytophilum
Allgemeines:
Bei der Anaplasmose handelt es sich um eine parasitäre Infektionserkrankung, die durch Anaplasma Arten hervorgerufen und von Zecken übertragen wird. Anaplasmen befallen die Granulozten (Anaplasma phagocytophilum) bzw. die Thrombozten (Anaplasma platys), die Erkrankung verläuft in akuten und chronischen Phasen.
Erreger:
Anaplasma phagocytophilum und Anaplasma platys. Anaplasmen gehören zur Ordnung der Rickettsien und sind somit Bakterien. Anaplasma phagocytophilum ist eine Zoonose und verursacht beim Menschen die Humane granulozytäre Ehrlichiose.
Überträger/Übertragung/Wirte:
Überträger:
Anaplasma phagocytophilum: Schildzecken der Gattung Ixodes. In Europa: Holzbock (Ixodes ricinus).
Anaplasma platys: Braune Hundezecke (Rhipicephalus sanguineus).
Übertragung:
Ab 24 Stunden nach Beginn des Saugaktes.
Inkubationszeit: 5 bis 20 Tage.
Präpatenz: Wenige Tage.
Patenz: Oft lebenslang, im Fall von Anaplasma platys ist in der Regel keine Erregerelimination möglich.
Wirte:
Anaplasma phagocytophilum: Mensch, Hund, Schaf, Ziege, Katze, Rind, Pferd.
Anaplasma platys: Hund, Katze, Ziege.
Verbreitung:
Anaplasma phagocytophilum: Zwischen dem 40. und 65. Breitengrad, Deutschland, Schweden, Norwegen, England, Holland, Polen, Ungarn, Österreich, Schweiz, Tschechien, Slowenien, Kroatien, Bulgarien, Frankreich, Nordspanien, Norditalien, Nordrumänien.
Anaplasma platys: Nordafrika, Süd- und Zentralportugal, Südspanien, Italien, Griechenland, Gibraltar, Bulgarien, Kroatien, Südrumänien.
Diagnostik:
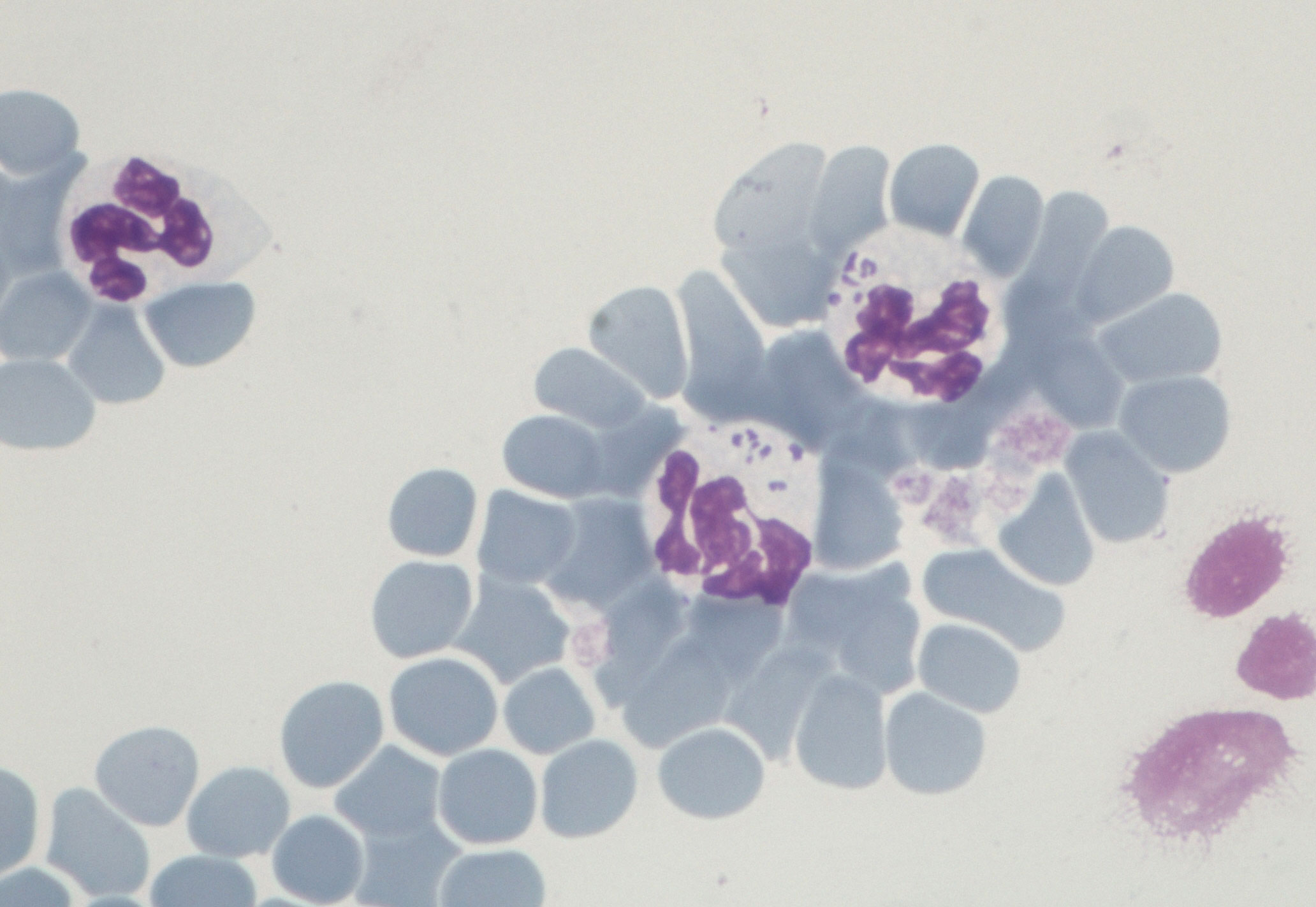
Direkter Erregernachweis (akute Phase): Giemsa-gefärbter Blutausstrich mit Nachweis von Morulae in Granulozyten bzw. Thrombozten und/oder PCR aus Blut.
Cave: Ein negatives PCR-Ergebnis schließt eine Erkrankung nicht aus!
Indirekter Erregernachweis (chron. Phase): Nachweis von Antikörpern (Titer) per IFAT oder ELISA. Ein Nachweis von Antikörpern gegen Anaplasma platys erfolgt durch Kreuzreaktion mit Anaplasma phagocytophilum.
DD: Borreliose, Ehrlichiose, Babesiose.
Beide Erreger treten häufig in Begleitung von Co-Infektionen wie Ehrlichiose, Babesiose und Borreliose auf. Bei der Diagnostik muss daher unbedingt ein komplettes Reiseprofil (Untersuchungsauftrag) entsprechend des Herkunftslandes erstellt werden.
Symptome:
Akute Phase (1-3 Wochen): Fieber, Apathie, Lethargie, gastrointestinale Störungen, Splenomegalie, Lymphadenopathie, Thrombozytopenie, Nasenbluten, Zahnfleischbluten, Petechien, Lahmheit, Polyarthritis.
Chronische Phase: Panzytopenie, Uveitis, Lahmheit, Polyarthritis, neurologische Störungen.
Die Symptome ähneln oft denen der Ehrlichiose.
Labor:
Blut: Thrombozyten (PLT) ↓ Die Thrombopenie ist Leitsymptom!, Lymphozten ↓, Monozyten ↑, Gesamteiweiß (TP) ↑, Albumin ↓, γ-Globuline ↑, C-reaktives Protein (CRP) ↑.
Im weiteren Verlauf auch: Erythrozyten (RBC) ↓, Hämatokrit (HCT) ↓, Leberenzyme (ALT, AST) ↑.
Behandlung:
Das alleinige Vorhandensein eines Titers ist keine therapeutische Indikation. Bei akuten Symptomen mit entsprechenden Veränderungen im Blutbild wird mit einem Antibiotikum behandelt:
Parasit Vectors. 2015 Feb;4(8):75-94.
Eine Eliminination des Erregers wird bei Anaplasma platys häufig nicht erreicht, bei Anaplasma phagocytophilum ist eine Erregerelimination möglich. Empfohlene Vorgehensweise in der chronischen Phase: Alle 6-12 Monate Monitoring mit Blutbild, Klinischer Chemie, Eiweißelektrophorese.
Cave: Doxycyclinhyclat führt zu schweren Schleimhautreizungen, die Tabletten daher nie auf nüchternen Magen verabreichen. Zum Schutz des Ösophagus hat es sich bewährt, die Tablette mit Futter zusammen zu verabreichen (Tablette in einer Fleischtasche oder einem Hühnerherz verstecken).
Eine systemische Kortisontherapie ist bei vektorbasierten Erkrankungen in der Regel kontraindiziert und darf nur unter strenger Nutzen-Risiko-Abwägung erfolgen!
Es müssen parallel auch immer die Co-Infektionen behandelt werden!
Vorbeugung:
Zum Beispiel permethrinhaltige und flumethrinhaltige Spot ons und/oder Halsbänder. Lassen Sie sich in diesem Fall rechtzeitig vor Reiseantritt von uns oder ihrem Tierarzt beraten.
Verhaltensprophylaxe: Vermeidung von Zeckengebieten
